Időpont választás a naptárban
Telefonos egyeztetés – kollégánk átbeszéli a lehetőségeket
Személyre szabott terv és ár
Ez benne van a konzultációban:
személyre szabott kezelési terv
pontos árajánlat
kérdezési lehetőség
Fizetési lehetőségek:
részletfizetés
finanszírozási lehetőség
egyéni ütemezés
Mi a különbség a cirkon és a fémkerámia korona között?
A cirkon korona fémmentes, ezért természetesebb fényáteresztést és esztétikát adhat. A fémkerámia belső váza fémből készül, ami hosszabb távon ínyszélnél szürkés elszíneződést okozhat.
Melyik esztétikusabb?
Frontfogaknál a cirkon általában esztétikusabb, mert természetesebb a megjelenése.
Melyik tartósabb?
Mindkettő tartós megoldás lehet. A megfelelő választás függ a fog helyétől, a harapási viszonyoktól és az egyéni igényektől.
Melyiket javasoljátok inkább?
Esztétikai zónában gyakran cirkont javaslunk, hátsó régióban mindkettő jó választás lehet – a döntést konzultáción, vizsgálat után érdemes meghozni.
Van árkülönbség?
Gyakran van: a cirkon korona sok esetben magasabb árkategóriába tartozik. Pontos árat a kezelési terv alapján tudunk mondani.

A korona egy fog teljes felszínét beborító fogpótlás, amelynek formája és színe megegyezik az eredeti, ép foggal. Ez fogtechnikai laboratóriumban készül és a fog eredeti alakjának a helyreállítása a cél.
Hidat akkor készítünk, ha foghiány van, vagy egymás mellett lévő fogak annyira károsodtak, hogy más módon nem lehet őket helyreállítani.
Mi az a cirkónium korona?
Fémmentes, nagy szilárdságú kerámia pótlás, amely kiemelkedő esztétikát és biokompatibilitást biztosít.
Mi az a fémkerámia korona?
Fém vázra égetett kerámia leplezésű pótlás, amely régóta alkalmazott, tartós és költséghatékony megoldás.
Mikor van szükség koronára vagy hídra?
Akkor készítünk koronát egy fogra, amikor az töméssel már nem állítható helyre. Például gyökérkezelt fogak törékenysége miatt vagy baleset során letört fogak esetén és azokban az esetekben is, amikor a fogat fogsor céljából alakítjuk át pillérekké. Valamint ha a fogszuvasodás olyan mértékben károsította a fogat, hogy az más módon nem állítható helyre.
A fémváz fogászati fémötvözetből készül (chrom-cobalt ötvözet), vagy fogászati arany erre a vázra pedig teljesen biokompatibilis kerámiát éget a fogtechnikus. A cirkónim-oxid váz, magasabb esztétikai igények, illetve bizonyított allergia esetén jöhet szóba. A préskerámiából történő porcelánleplezés majdnem csak esztétikai okokból készülhet a fogak front területén, nem pedig a rágóterületeken.
Abban az esetben, ha a fog nagy mértékben mozgatható, nincs jól gyökérkezelve, ha nagyon sok hiányzik a koronai részből, vagy ha gyulladt a fog. Gyermekeknél a 16-18 év betöltéséig célszerű várni a korona készítéssel. Fiatal korban ugyanis a fog pulpakamrája még túl nagy, így a korona előkészítése során nagyobb valószínűséggel kell gyökérkezelni a fogat.
Melyik a természetesebb hatású?
Általában a cirkónium.
Melyik tartósabb?
Mindkettő hosszú távú megoldás, megfelelő készítés esetén.
Miért drágább a cirkónium?
Anyagköltség és digitális technológia.
Hátsó fogra is jó a cirkónium?
Igen, nagy teherbírású.
| Tulajdonság | Cirkónium | Fémkerámia |
|---|---|---|
| Esztétika | kiemelkedő, fényáteresztő | jó, de fém szél megjelenhet |
| Allergia | fémmentes | ritkán előfordulhat |
| Tartósság | nagyon magas | magas |
| Ár | drágább | kedvezőbb |
Oldalsó fogak hiányának pótlására mindenképp érdemes olyan megoldást választani, ahol van váz a porcelán leplezés alatt. Ilyen a fémváz vagy a cirkónium váz. Sem a fém, sem a cirkónium nem ereszti át a fényt, viszont a kerámia leplezés igen és ebből a szempontból nem mindegy, hogy egy fém, szürkés felület van alatta, vagy egy kréta szerű a fog színéhez hasonló felület. Ezen a területen préskerámia semmiképpen sem javasolt. Esztétikai területen, elülső fogak koronai pótlására viszont igen. Foghiány pótlására nem alkalmas. Nagy előnye, hogy teljesen fényáteresztő és már az alap is különböző, a már meglévő fogak színéhez hasonlóan készíthető.
A modern fogászat vívmánya a CAD/CAM számítógépes szkenneléses eljárással készített cirkónium oxid alapú korona, mely a esztétikailag és funkcionálisan is maximálisan kielégít minden igényt. Amennyiben a páciensnek fém allergiája van, érdemes inkább a cirkon pótlást választani. Lényege, hogy az előkészített fogakról vett lenyomat alapján készülő mintát egy erre a célra kifejlesztett szkenner letapogatja és a számítógépben rögzíti. Ez alapján a fogtechnikai laborban egy speciális gép segítségével cirkónium tömbből kerül kifaragásra a korona/ híd. Egyetlen hátránya, hogy ára sokkal magasabb, mint a fémkerámia fogpótlásé. Esztétikailag előnyösebbek a fémkerámiánál, mert a koronák, hidak nem tartalmaznak semmilyen fémet, így sokkal természetesebb hatásúak. A fémtartalmú fogpótlások ezért mindig tömörebbnek tűnhetnek.

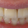
cirkon híd Harmónia Fogászat
♦Erős és tartós – évtizedekig nem lesz vele gondja, hosszú élettartamúésnagy teherbírású alapanyagból készül…
♦Természetes hatású – olyan mint az igazi, a fény hasonlóan a természetes fogakhoz, át tud hatolni a koronán, így a cirkonból készült fogpótlások teljesen azonosak aszomszédos természetes fogakkal, olyan mintha igazi lenne
♦Tökéletesen illeszkedik – nincs kényelmetlen érzés, az íny épsége vállas korona előkészítéssel megőrizhető, az íny egészséges, rózsaszín és feszes marad, a korona viselése harmonikus érzést nyújt…
♦Allergénmentes – fémallergiások számára tökéletes megoldás, teljesen szövetbarát, nem tartalmaz fémet, így fémallergiások is nyugodtan viselhetik, nem okoz allergiás tüneteket…
♦Nincs többé „szürke csík” és fémes íz, a cirkon korona nem tartalmaz fém vázat, így soha nem jelenik meg a “szürke szél” és a zavaró, fémes íz. Biokompatibilis, aszervezet nem kezeli idegen anyagként . A teljes kerámia koronák után, ez adja vissza legjobban az eredeti fog kinézetét …
1. alkalom:
Állapotfelmérés, és kezelési terv. Minden esetben megmutatjuk a páciensnek, milyen elváltozást találtunk, majd megbeszéljük a későbbi teendőket és a kezelés menetét. Ezt árajánlatba foglaljuk, melyet a páciens magával visz.
2. alkalom:
Az első teendő, érzéstelenítés, majd ezt követően a fogak lecsiszolása, ami azt jelenti, hogy a fogorvos arányosan elvesz a fog minden oldalából. Rendelőnkben igyekszünk, természetesen a fog állapotát figyelembe véve vállasan lecsiszolni a fogakat. Lehetőség van vállas csiszolásra, ami hosszútávon védi a fog körül található szöveteket (íny, fogágy), illetve magasabb fokú esztétikát biztosít a hagyományos csiszolási eljárásokkal szemben. Ezután szilikon lenyomatanyaggal precíziós lenyomatot veszünk melyet követően elkészítjük az ideiglenes fogpótlást. Erre legfőképp azért van szükség, mert a lecsiszolt fogak érzékenyek és a pótlás elkészülési idejére biztosítani kell a páciens számára a kényelmes és fájdalommentes állspotot, de nem utolsó sorban esztétikai megfontolásból is készülhet az ideiglenes híd, vagy korona, főleg ha esztétikai területen dolgozunk.
3. alkalom:
A korona vagy híd vázát az előkészített fogra ráhelyezve ellenőrizzük a pontosságát. Ezzel egy időben egy meglévő 24 színből álló fogszínkulcs segítségével megállapítjuk a készülő pótlás színét. Természetesen a meglévő fogak adnak ebben támpontot.
4. alkalom:
A meglévő fogak forma és színvilágát követve elkészült pótlás végleges beragasztása, amely ún. üvegionomer cementtel történik.
Az általunk végzett fogászati beavatkozásokra minőségi garanciát vállalunk. Ez fix pótlás esetén 2 év.
Minden beavatkozás előtt, kérés nélkül biztosítjuk Önnek az árajánlatunkat írásban, és garantáljuk, hogy a kezelési tervben meghatározott árak nem változnak.
Ne feledje! Az orvosaink kapacitása véges, a szabad időpontok pedig fogynak.
Jelentkezzen, és foglalja le a saját időpontját az állapotfelméréshez!